뼈이식 임플란트

뼈이식 임플란트란?


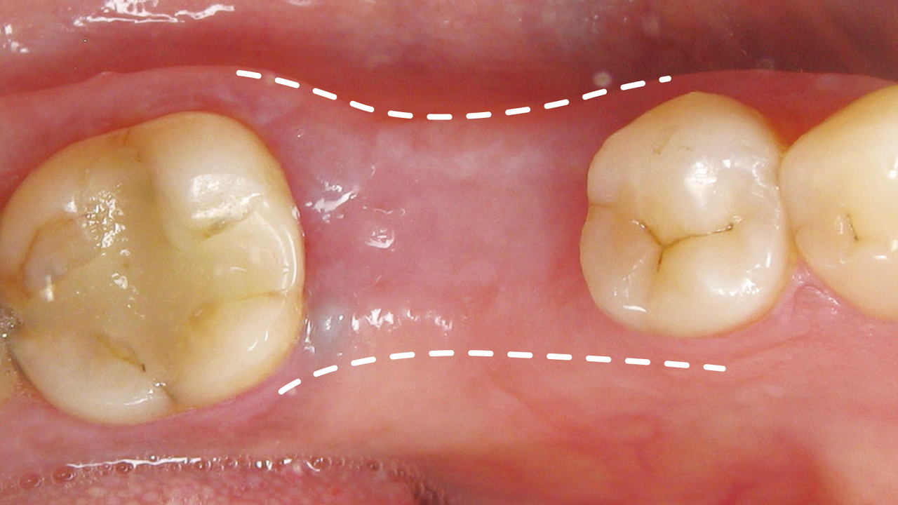
치아가 상실된 후 시간이 지나면 치조골은 흡수되어 

점점 얇아집니다. 뼈이식 임플란트는 뼈를 이식하여 

임플란트 수술에 적합한 환경을 만듭니다.

발치 후 시간 경과에 따른 잇몸뼈의 두께 변화

뼈이식 양이 많은 경우

뼈이식술 3-6개월 후 임플란트 식립

뼈이식 양이 적은 경우

뼈이식과 동시에 임플란트 식립

치조골이 흡수되고 약해지는 원인

만성 치주염

충치/치아우식

치아 상실

오랜 틀니 사용

뼈이식 임플란트 장점

 단단한 고정


치아가 흔들리지 않고

고정될 수 있도록 도와줍니다.

 저작력 강화


뼈이식을 통해 치아 기능을 회복하고

저작 능력을 강화합니다.

 심미성 증가


꺼져있는 잇몸뼈를 보강하여

잇몸의 심미성을 높여줍니다.

임플란트 VS 틀니

아직도 고민 중이신 분들께


치아의 부분/전체 상실에 따라 치료가 달라질까요?

삼성현치과에서 알려드립니다.

치과 치료에 디지털을 더하다.


3차원 디지털 진단

CT로 촬영한 3차원 데이터 뼈, 잇몸, 신경을 

통합적으로 고려하여 정밀 진단 후 모의 수술을 

통해 최적의 임플란트 위치를 설정합니다.


디지털 구강 스캐너

디지털 분석을 위해 CEREC PRIMESCAN

구강스캐너를 사용하여 정교하고 빠른 디지털

치과 진료가 가능합니다. 오차가 거의 없는 

개인 맞춤 치료 계획을 수립합니다.

시흥치과 틀니


디지털 맞춤 보철

디지털 기공소와 보철과 의료진이 협의하여

정교한 보철물을 제작합니다. 수준 높은 

맞춤 보철물을 만나보실 수 있습니다.

시흥치과 풀아치


Plasma X 임플란트 표면 처리

플라즈마 표면 처리를 통해 잔존 산의 위험성을 

낮추고, 단백질 흡착성을 향상합니다.

우수한 친혈성으로 혈관 형성, 혈액 공급 

활성도 극대화가 가능합니다.

뼈이식 임플란트

뼈이식 임플란트란?


치아가 상실된 후 시간이 지나면 치조골은 흡수되어 점점 얇아집니다.

뼈이식 임플란트는 약해진 치조골 부위에 뼈를 이식하여 골밀도를 높이고 

임플란트 수술에 적합한 환경을 만듭니다.


발치 후 시간 경과에 따른 잇몸뼈의 두께 변화



뼈이식 양이 많은 경우

뼈이식술 3-6개월 후 임플란트 식립



뼈이식 양이 적은 경우

뼈이식과 동시에 임플란트 식립


뼈이식 재료


삼성현치과는 개인 상태에 맞춘 안전하고 

우수한 뼈이식 재료를 사용합니다.

자가골


환자가 발치한 

치아 사용

동종골


기증 받은 사람의

뼈를 가공

이종골


동물에 채취한

뼈를 가공

합성골


자가골이 많이

부족한 경우 사용

치과치료 통증이 두렵다면?

삼성현치과 마취 시스템


세분화된 마취 시스템을 거쳐 치료 과정에서 생기는

불필요한 고통을 최소화합니다.

삼성현치과 의식하 진정 임플란트에 사용하는 

미다졸람은 과도한 수면이 발생하더라도 

역전약물이 존재해 보다 안전합니다.

삼성현치과의 안전한 의식하 진정법


전담 의료진이 의식하 진정법으로

세심한 진료를 제공하고 있습니다.

01

수술 6시간 전

금식

02

마취를 위해

정맥선 확보

03

의식하 진정상태로

치료 부위 시술

04

회복실에서 안정 후

귀가 조치

잇몸뼈가 부족해도

임플란트 할 수 있나요?


잇몸의 폭이 좁으면 안정적인 임플란트 식립이 어려워
잇몸뼈를 쪼갠 후 공간을 넓히는 수술을 합니다.

릿지 스플릿 진행 단계

건강보험 임플란트

만 65세 이상 | 본인 부담률 30%


  평생 2개까지 건강보험이 적용됩니다.

무치악 환자는 대상에서 제외됩니다.

뼈이식 시 추가 비용이 발생할 수 있습니다.

치조골이 흡수되고 약해지는 원인


만성 치주염


충치/치아우식


치아 상실


오랜 틀니 사용

뼈이식 임플란트 장점

 단단한 고정


치아가 흔들리지 않고

고정될 수 있도록 도와줍니다.


 저작력 강화


뼈이식을 통해 치아 기능을 회복하고

저작 능력을 강화합니다.


 심미성 증가


꺼져있는 잇몸뼈를 보강하여

잇몸의 심미성을 높여줍니다.


임플란트 VS 틀니 아직도 고민 중이신 분들께


치아의 부분 상실, 전체 상실에 따라 치료 방법이 달라질 수 있을까요?
현재의 치아 상태에 따른 보철치료에 대해 삼성현치과에서 알려드립니다.

치과 치료에 디지털을 더하다.


3차원 디지털 진단


CT로 촬영한 3차원 데이터로 뼈, 잇몸, 신경을

종합적으로 정밀 진단 후 모의 수술로 

최적의 임플란트 위치를 설정합니다.


디지털 구강 스캐너


디지털 분석을 위해 구강 스캐너를 사용하여

정교하고 빠른 디지털 치과 진료가 가능합니다.

오차가 거의 없는 개인 맞춤 치료 계획을 세웁니다.


디지털 맞춤 보철


디지털 전문 기공소와 보철과 의료진이 협의하여

정교한 보철물을 제작합니다. 수준 높은

맞춤 보철치료를 경험하세요!

Plasma X 임플란트 표면 처리


플라즈마 표면 처리를 통해 잔존 산의 위험성을 낮추고 단백질  흡착성을  

향상합니다. 우수한 친혈성으로 혈관 형성, 혈액 공급 활성도를 높입니다.

뼈이식 재료


삼성현치과는 개인 상태에 맞춘 안전하고 우수한 뼈이식 재료를 사용합니다.

자가골


  • 환자가 발치한 치아 사용
  • 인체 거부 반응 없음
  • 골 재생력 우수

동종골


  • 기증 받은 사람의 뼈를 가공
  • 멸균 처리 재료
  • 방사선 처리로 면역 반응 최소화

이종골


  • 동물에 채취한 뼈를 가공
  • 멸균 처리 재료
  • 자가골, 동종골과 혼합하여 사용

합성골


  • 자가골이 많이 부족한 경우 사용
  • 인공적으로 만든 합성골
  • 부작용을 최소화한 재료

치과치료 통증이 두렵다면?


삼성현치과 마취 시스템


세분화된 마취 시스템을 거쳐 치료 과정에서 생기는 불필요한 고통을 최소화합니다.

삼성현치과 의식하 진정 임플란트에 사용하는 미다졸람(Midazolam)앰플


과도한 수면이 발생하더라도 역전약물이 존재하여 보다 안전하게 사용할 수 있습니다.

mobile background

삼성현치과의 안전한 의식하 진정법 치료 과정


전담 의료진이 의식하 진정법으로 세심한 진료를 제공하고 있습니다.

01


수술 6시간 전 

금식

02


마취 약물 사용을 위해 

정맥선 확보

03


의식하 진정상태에서

치료 부위 시술

04


회복실에서 안정 후 

귀가 조치

잇몸뼈가 부족해도 임플란트 할 수 있나요?


잇몸의 폭이 좁아지면 안정적인 임플란트 식립이 어려우므로
잇몸뼈를 쪼갠 후 공간을 넓히는 릿지 스플릿 수술을 진행하게 됩니다.

릿지 스플릿 진행 단계


01

뼈이식이 필요한 부분 잇몸 절개


02

임플란트 식립 위치 지정


03

잇몸뼈 중앙 절개


04

잇몸뼈 확장


05

임플란트 식립/뼈 이식재 충전


06

절개된 잇몸 봉합/마무리

건강보험 임플란트


만 65세 이상 | 본인 부담률 30%


☑ 평생 2개까지 건강보험 적용됩니다.

☑ 무치악 환자는 대상에서 제외됩니다.

☑ 뼈이식 시 비용이 발생할 수 있습니다.

삼성현치과의원 (시흥 신천역 3번 출구 앞)

주소 : 경기도 시흥시 신천로 100 신천역사 A동 2층

사업자등록번호 : 808-98-00089   |   대표 : 성지현


(C) 삼성현치과의원 ALL RIGHTS RESERVED


진료시간



월·수·목·금


10:00-18:30

화요일(야간)10:00-20:30
토요일09:00-13:00

일요일

휴진

점심시간

12:30-14:00공휴일휴진

경기도 시흥시 신천로 100 신천역사  A동 2층   |  사업자등록번호 : 808-98-00089  |  대표 : 성지현

(C) 삼성현치과의원 ALL RIGHTS RESERVED